Mine põhisisu juurde
Logi sisse

Logi sisse

  • ID-kaart
  • Mobiil-ID
  • Smart-ID

Sisestage oma ID-kaart lugejasse ja vajutage nuppu "Logi sisse"

Logi sisse

Kas teil ei ole kontot? Saage liikmeks

Astu liikmeks
  • Avaleht
  • Hambaarstile
    • Infolehed
    • Kasulikud viited
    • Artiklid
    • Ajakiri "Hambaarst"
    • Pädevuse taotlemise kord
    • Kuulutused
    • Koolitused
  • Patsiendile
    • Kasulikud viited
    • Kasulikku lugemist
    • Suukool
    • Videod
  • Taotlused
    • Koolituse registreerimine
    • Pädevussertifikaadi taotlus
    • Lisa Kuulutus
  • Sündmused
  • Uudised
    • Uudised
    • Hambaarstid meedias
    • EHL seisukohad
  • Liidust
    • Juhatus ja volikogu
    • Juhatuse koosolekute ajad
    • Volikogu koosolekud ja info
    • Kodukord
    • Eetikakoodeks
    • Põhikiri
    • Arengukava
  • Liikmemaks
  • Liikmete hüved
  • Kontaktandmed
  • Infolehed
  • Kasulikud viited
  • Artiklid
  • Ajakiri "Hambaarst"
  • Pädevuse taotlemise kord
  • Kuulutused
  • Koolitused
  • Kasulikud viited
  • Kasulikku lugemist
  • Suukool
  • Videod
  • Koolituse registreerimine
  • Pädevussertifikaadi taotlus
  • Lisa Kuulutus
  • Uudised
  • Hambaarstid meedias
  • EHL seisukohad
  • Juhatus ja volikogu
  • Juhatuse koosolekute ajad
  • Volikogu koosolekud ja info
  • Kodukord
  • Eetikakoodeks
  • Põhikiri
  • Arengukava
Logi sisse Astu liikmeks
tooth

Esteetiline rehabilitatsioon. Üksik tsentraalne intsisiiv invasiivse tservikaalse resorptsiooniga

Invasiivne kaelaresorptsioon (edaspidi ICR – Invasive Cervical Resorption) on suhteliselt
harvaesinev hamba välise resorptsiooni liik, mille puhul põletikuline reaktsioon algab kohe
epiteliaalse ühenduse alt.
See on agressiivne protsess, millega kaasneb progressiivse dentiini asendumine fibrovaskulaarse
koega ja ektoopiliste kaltsifikatsioonide moodustumine. Potentsiaalsete etioloogiliste faktorite seas
on ortodontiline ravi, trauma, sisemine valgendamine, parodontoloogiline ravi ja muud idiopaatilised faktorid (nagu bruksism, arenguhäired, üldhaigused jt).

Vastavalt raskusastmele eristatakse nelja ICR-i klassi. Esimest ja teist klassi on võimalik ravida
restauratiivselt, kolmanda ja neljanda klassi puhul on soovitatav hamba eemaldamine ja
asendamine kas silla või implantaadiga. Ravi edukus sõltub paljus ravijuhtumist ja korrektsest
kahjustuse ulatuse hindamisest.



Ravijuhtum
26-aastane neiu suunati konsultatsioonile seoses 21. hamba ebarahuldava välimusega (fotod
1a ja 1b). Anamneesis on hiljuti lõppenud ortodontiline ravi. Hambale oli eelnevalt tehtud juureravi.
Periapikaalse ülesvõtte pealt ilmnes tservikaalne resorptsioon mesiaalsel pinnal (foto 2). CBCT-
uuringu põhjal pandi teise klassi invasiivse tservikaalse resorptsiooni diagnoos. Ravivõimaluste
arutelu käigus sündis otsus säilitada hammas ja ravida seda restauratiivselt.
Resorptsioonikahjustuse parandamine teostati kohaliku tuimestusega. Avatud limaskestlapp
paljastas defekti, samal ajal säilitades labiaalselt periosti luu peal, mis aitas vältida luu
resorptsiooni paranemise ajal (foto 3). Resorptsiooniala puhastati mikroskoobi all elektrilise
turbiiniga. Minimaalne luuplastika teostati D21 defekti kõrval, selleks et võimaldada kaviteedi
isolatsiooni. Marginaalse luu tase D11 mesiaalsel pinnal säilitati.
Kofferdamisolatsiooni abil õnnestus saavutada kuiv tööväli, mis võimaldas taastada defekti
valguskõvastuva komposiidiga (fotod 4a ja 4b).


Limaskestlapp sai fikseeritud tagasiõmblustega. Samal visiidil tehti ka esialgne 21. hamba
reparatsioon ja valmistati ajutine laminaat (foto 5). Õmblused eemaldati ühe nädala pärast.


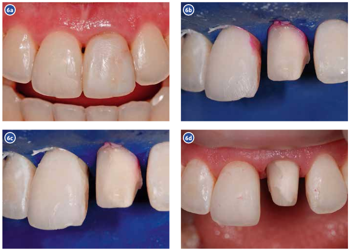
Lõplik hambapreparatsioon teostati 6 nädala pärast. Samal ajal valmis ka komposiitrestauratsioon
hambale 11, eesmärgiga muuta mesiaalset väljumisprofiili, sulgeda suurenenud must kolmnurk ja ühtlustada intsisaalsete servade tasapinda. Enne komposiidi asetamist kasutati katuindikaatorit selleks, et tagada maksimaalselt efektiivne adhesioon juuredentiini pinna külge (fotod 6a–6d).


Hambale 21 valmistati üksik kattekeraamikaga e. max laminaat. Töö teostati koostöös Dental
Designi hambalaboriga, tehnikuks oli Mihhail Beloussov (fotod 7a ja 7b).
Restauratsioon tsementeeriti adhesiivse protokolli järgi, fotol nr 8 on näha laminaadiserva
suurepärane istumine astme peal. Tsementeerimise käigus selgus, et ülemise fikseeritud reteineri
lahti- ja kinnikleepimine raviprotseduuride ajaks põhjustas hamba nihkumist ning mesiaalse
kontakti kadumist. Tsementeerimise järel pingestati ka reteiner (foto 9).


Kontrollvisiidi ajaks oli mesiaalne kontakt taastunud. Kliiniliselt on näha head laminaadi
integratsiooni (fotod 10a ja 10b). Samal visiidil tehti ka kontrollülesvõte (foto 11).

  • AVASTA
    • Sündmused
    • Uudised
    • Artiklid
  • HAMBAARSTILE
    • Pädevus
    • Töökuulutused
    • Kasulikud viited ja juhised
    • Koolitused
  • PATSIENDILE
    • Suukool
    • Kasulik info
  • KONTAKT
    • Narva mnt 5-76, Tallinn
    • Tel. 56920004
  • Müügitingimused
  • Privaatsusteatis
  • Powered by Play & Nope Alliance

© 2026 Eesti Hambaarstide Liit. Kõik õigused kaitstud